首页 虎符中国站文章正文

每天用2次,22岁女主播肺里长满阴影!很多人不注意

虎符中国站 2026年03月30日 22:40 3 Connor

(来源:雅安疾控中心)

只需在化妆最后一步轻轻一喷

就能让妆容持久服帖

为了时刻保持精致妆容

不少爱美的人都会使用定妆喷雾

每天用2次,22岁女主播肺里长满阴影!很多人不注意

但医生特别提醒

这类网红定妆喷雾

使用不当可能暗藏健康风险

01

22岁主播天天喷定妆喷雾

不幸患肺炎

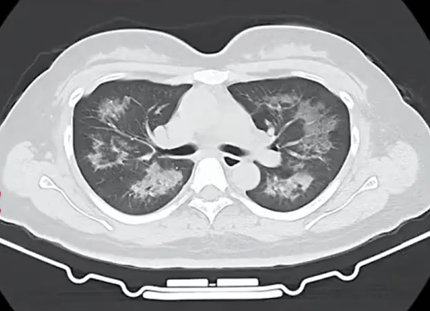
浙江杭州22岁的主播小江(化名),因为长时间直播带货,需要保持精致持久的妆容,故每天两次使用定妆喷雾,在坚持了近半年后,近日竟然因此住进了医院。

小江就诊时高烧超过40℃,血常规检查显示白细胞、中性粒细胞、CRP(C-反应蛋白)均明显升高,嗜酸性粒细胞也显著偏高。

胸部CT进一步显示,她的双肺出现多发斑片状模糊影,被诊断为间质性肺炎。医生判断,病因很可能与她近期长期接触的某类物质相关。经过医生反复细致地询问病史,小江才说出自己存在长期、频繁使用定妆喷雾的情况。

每天用2次,22岁女主播肺里长满阴影!很多人不注意

02

挥发性化学成分

可能诱发不良反应

医生提醒,定妆喷雾中含有大量挥发性化学成分,这些物质被吸入后可直接作用于肺部细胞,造成细胞损伤。

临床上,轻症患者可能只出现咳嗽、咳痰、喘息等症状;若易感人群短期内大量吸入这类致敏性物质,就可能诱发过敏性肺炎,严重时甚至发展为呼吸衰竭,必须高度重视。

在接受对症治疗三天后,小江的血常规指标恢复正常,肺部炎症也快速吸收,病程明显短于普通细菌性肺炎的10~15天。这一恢复特点,也进一步印证了医生的诊断。

相关话题迅速引发网友热议

不少网友感到害怕

自己平常也有用喷雾的习惯

每天用2次,22岁女主播肺里长满阴影!很多人不注意

有网友表示自己也是

因为使用喷雾导致肺部出现问题

每天用2次,22岁女主播肺里长满阴影!很多人不注意

有网友表示

每次使用喷雾都会憋气

每天用2次,22岁女主播肺里长满阴影!很多人不注意

其实,不止定妆喷雾,医生提醒:杀虫剂、空气清新剂等各类化学喷雾制剂,使用时都可能让人体不慎吸入含挥发性有机物。

本身患有慢性荨麻疹、过敏性鼻炎等过敏性基础病的人群,应尽量避免使用化学喷雾类产品。在使用过程中,皮肤黏膜的直接接触或微粒被吸入肺部,都可能引发严重过敏反应,甚至导致呼吸困难、危及生命。

03

如果确实需要使用喷雾类产品

专家建议这样做

🔶尽量在开阔、通风良好的环境中操作,避免在狭小密闭、空气不流通的环境中使用;

🔶避免对脸直喷,可先喷在美妆蛋或刷具上再上脸;

🔶气雾瓶应远离热源,避免摔打碰撞;

🔶使用后如出现持续咳嗽、胸闷、发热等不适,应及时就医并告知医生近期喷雾接触史。

来源:央视网、浙江医院、东莞疾控、河南疾控

标签: 长满 阴影 多人 每天 注意

发表评论

虎符交易所-国内领先的数字货币交易平台|虎符中国站 备案号:川ICP备66666666号